![]() |
![]() |
![]() |
front |1 |2 |3 |4 |5 |6 |7 |8 |9 |10 |11 |12 |13 |14 |15 |16 |17 |18 |19 |20 |21 |22 |23 |24 |25 |26 |27 |28 |29 |30 |31 |32 |review |
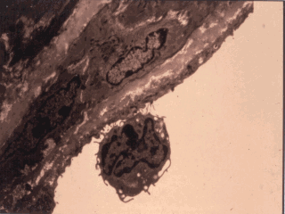
What might acute phase cytokines do? This slide shows an
effect of cytokine activation of endothelial cells. These cells on stimulation with TNF-alpha,
IL-1, IL-6 expressed number of adhesion molecules causing rolling and the adherence of
lymphocytes which may will be the earliest phases of the formation of fatty streaks in the
atherosclerotic plague. |